Hello ! Click on one of our team members below to chat on WhatsApp.
Practitioner
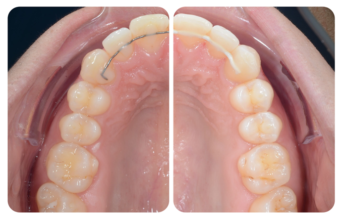
The first 100% digital fixed retainer made of PEEK that protects your results and saves chair time.
Metal orthodontic retainers are no longer up to the task.
Over one million orthodontic retainers are placed each year in patients across France. These fixed retainers are designed to remain in the mouth for life, maintaining the dental alignment achieved through treatment. However, up to 50% of these orthodontic retainers experience issues over their lifetime.
Currently, the situation can be summarized as follows :
12-50*%
- Wire breakage
- Debonding
- Adverse effect
≈100%
- Inaccuracy
- Poor fit
- Discomfort
± 70
- Unbilled chair time
- Disruption of your schedules
- Negative word of mouth
* Iliadi, A., Koletsi, D., Eliades, T. (2015). Failure of fixed orthodontic retainers: A systematic review. Journal of Dentistry, 43(8), 876–896. https://doi.org/10.1016/j.jdent.2015.03.008
The 100% Custom-Made PEEK Retainer
The Impact of eZtain on Your Practice – More Appointments, Less After-Sales Support
| Metric | Manually bent wire | eZtain |
|---|---|---|
| 12-Month Breakage Rate | 12‑50 % | 0% |
| Placement Time | 6 min | 4min |
| Retreatment due to relapse | Yes | 0,00 |
| MRI / CBCT Artifacts | 100 % of cases | 0 % |
| Unproductive Chair Time Caused by Support Issues | 70 retention Emergencies per Year | 0 |
Ordering process
- Search for eZtain Lab in your intraoral scanner partners list.
- If you cannot find us or if you are using an iTero scanner, please contact us.
- Pre-debonding check-up: an intraoral scan is performed.
- The STL file is automatically uploaded to our laboratory directly from the scanner.
- To validate your order, submit your prescription via your eZtain practitioner account.
- Order in just three clicks and receive it within a maximum of one week.
- At the following appointment, you can proceed with bonding the retainer.
- You can keep all your usual bonding protocols and adhesives.
- No adjustment is required — the retainer is perfectly adapted to your patient’s anatomy.
Our Partners Share Their Experience
For over 3 years, we’ve received excellent feedback.










